Sabtu, 12 Januari 2013

apa itu TBC


pengertian TBC 
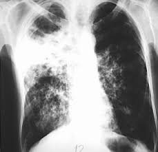
 Tuberkulosis atau TBC adalah penyakit yang sangat mudah sekali dalam penularannya. Seperti halnya penyakit flu biasa, dalam penyebaranya TBC juga melalui udara. Penyakit TBC sangat mematikan apabila tidak segera dilakukan penanganan. Di Indonesia, penanganan sejak dini sudah dilakukan dengan memberikan paket imunisasi BCG pada balita. Namun demikian, belum sepenuhnya Indonesia 100% terbebas dari penyakit TBC ini.
TBC adalah merupakan suatu penyakit yang tergolong dalam infeksi yang disebabkan oleh bakteri Mikobakterium tuberkulosa. Penyakit TBC dapat menyerang pada siapa saja tak terkecuali pria, wanita, tua, muda, kaya dan miskin serta dimana saja. Di Indonesia khususnya, Penyakit ini terus berkembang setiap tahunnya dan saat ini mencapai angka 250 juta kasus baru diantaranya 140.000 menyebabkan kematian. Bahkan Indonesia menduduki negara terbesar ketiga didunia dalam masalah penyakit TBC ini.
Pada umumnya penularan TBC terjadi secara langsung ketika sedang berhadap-hadapan dengan si penderita, yaitu melalui ludah dan dahak yang keluar dari batuk dan hembusan nafas penderita. Secara tidak langsung dapat juga melalui debu, alat makanan dan minuman yang mengandung kuman TBC. Melalui medium air, TBC juga bisa bertahan dan menyebar. Lamanya dari terkumpulnya kuman sampai timbulnya gejala TBC dari yang berbulan-bulan sampi tahunan membuat penyakit TBC ini digolongkan penyakit kronis.

Tidak ada komentar:

Posting Komentar